
大脑的衰老往往比面容的枯皱更令人心悸。许多人担忧的并非死亡本身,而是记忆力像指间沙一样流失,最终思维迟钝、步态不稳,甚至性情大变,成为家人的累赘。这种对“失智”的深层恐惧,常被吸烟带来的片刻放松所掩盖。然而,每一次吞云吐雾,都在无声地侵蚀脑部微细血管的根基。当检查单上出现“缺血灶”或“白质高信号”字样时,恐慌才真实降临:血管的微小崩塌,真的不可逆转吗?

一、脑小血管病隐匿性极强,多表现为影像学改变
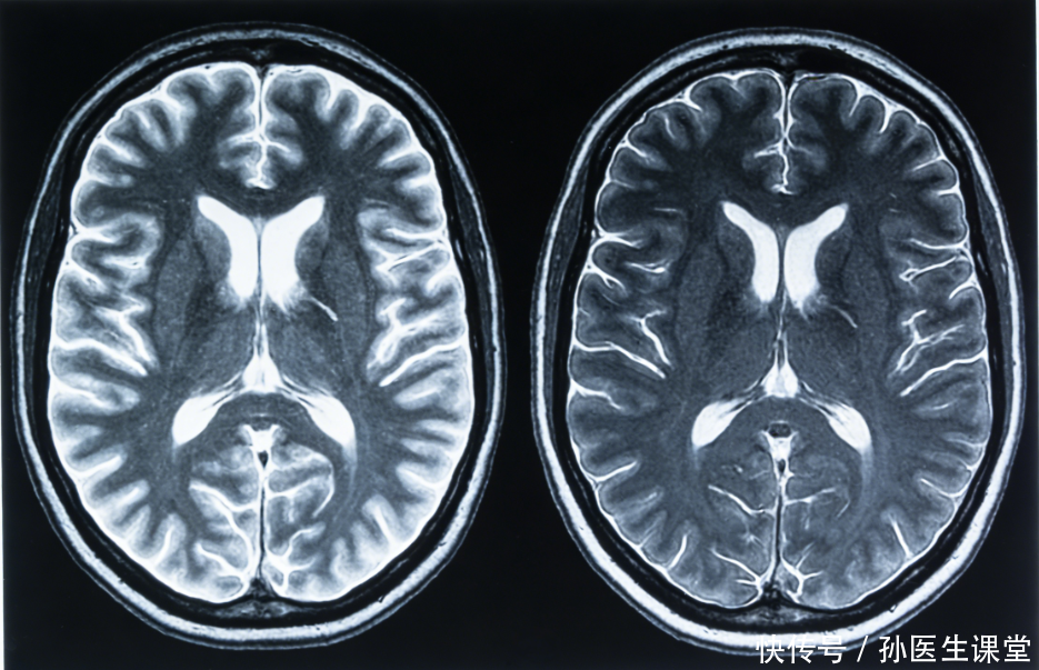
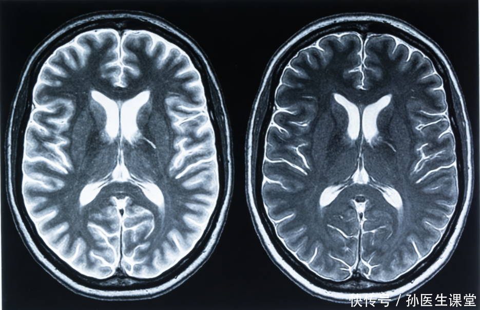
不同于大动脉堵塞引发的急性卒中,脑小血管病(CSVD)涉及的是颅内穿通动脉、小动脉及毛细血管。临床上,这类病变常在MRI检查中以形似满天星的“白质高信号”或微出血点呈现。这种微观层面的血管壁损伤,往往源于内皮细胞的长期炎症反应与血脑屏障的通透性改变。病变累积到一定阈值,执行功能下降、情绪抑郁及排尿障碍便接踵而至。它并非单一疾病,而是以腔隙性脑梗死、脑白质疏松为特征的一组病理综合征,隐蔽性导致其早期极易被忽视。

二、干预微血管损伤,需阻断氧化应激链路
吸烟释放的尼古丁与焦油,直接诱发血管内皮氧化应激,导致小血管管壁增厚、管腔狭窄。减缓这一进程,需精准阻断自由基的累积链路。
降低同型半胱氨酸
摄入富含叶酸、维生素B12的食物如深色绿叶菜、豆类,有助于代谢同型半胱氨酸。后者水平过高是血管内皮损伤的独立危险因素,会加剧烟草毒性对血管壁的腐蚀。
严控收缩压波动
脑小血管对血压变异性极度敏感,收缩压长期维持在130mmHg以下,能显著延缓白质病变体积的扩大。相较于药物的甄选,维持24小时血压的平稳状态,减轻晨峰高血压带来的冲击,显然更为关键。
提升内皮酶活性
每周进行三次、每次超30分钟的中等强度有氧耐力运动,可提升内皮一氧化氮合成酶活性,改善微循环灌注,在一定程度上抵消吸烟引发的血管痉挛效应。

三、夜间缺氧加剧血管内皮凋亡,形成恶性循环
长期吸烟者常伴有咽部黏膜充血水肿,加重睡眠呼吸暂停综合征(OSA)。这种夜间反复发生的间歇性低氧血症,会叠加吸烟的危害,使脑小血管内皮细胞处于持续的缺血缺氧状态,加速细胞凋亡。
低氧环境还会刺激交感神经兴奋,导致夜间血压异常升高,这种“非杓型”血压节律,对脑小血管的机械性冲击远超日间高血压。若晨起常感头昏沉、记忆断片,需警惕这种双重打击对脑白质完整性的破坏,及时进行多导睡眠监测,纠正夜间缺氧,有时比单纯服药更能保护脑组织。

血管的健康虽有不可逆的成分,但人体的自我修复能力惊人。大脑具备极强的可塑性,只要停止伤害源的输入,微循环的改善往往能带来认知的回暖。为了思维的长久清晰和晚年的体面,从现在开始改变,任何时候都不算晚。
诚利和提示:文章来自网络,不代表本站观点。